在医院就诊的很多患者口腔缺失的不只一颗牙齿,可能是觉得当时掉一颗牙时觉得无所谓,但时间一长其他牙跟着掉,不能吃东西和影响美观了才着急来看牙医。>>>有疑问,在线问医生
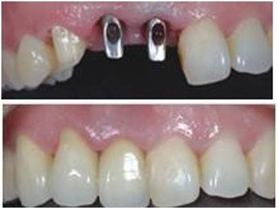
正常的口腔中有28-32颗牙齿分别排列在上下颌骨上,一般遵循着生存、无痛、健康、美这样一个顺序。对牙列缺损的就诊要求,与人的知识水平、生活水平有着密不可分的关系。牙列前部缺损因其影响美观,病人就医的愿望可能会较急切,而牙列后部的缺损在缺牙数目少、时间短时并无明显不适。但牙合学告诉我们,神经、肌肉、关节与咬合是一个有机的完整整体,任何一个部分的异常都会带来其他部分的损害。牙列的完整性是维持牙列自身健康的首要前提,对于这样一个高强度、高频率的受力器官,牙列中有一颗牙齿缺失便意味着三维动力平衡被破坏,邻牙的倾斜、对咬合牙的伸长、牙周组织的破坏、食物嵌塞龋齿的出现、咬合的紊乱、咬合干扰的出现都是不可避免的。最直接的影响就是形成偏侧咀嚼习惯、咀嚼效率的下降或丧失,跟着其他的牙齿也会坏,时间一长整个口腔就出现问题了。
德贝美口腔温馨提醒:因缺牙比较多,具体到设计方案,请到专业的口腔医院进行治疗。 德贝美口腔医院拥有知名医生团队诊疗,高端的医疗设备及材料,高质量的服务理念,我们致力成为顾客的首选,如果您还想了解更多相关的信息,可以通过在线咨询或者是拨打热线电话:0755-28092885的方式来联系我们



2019-08-15 17:20:23
来源:德贝美口腔
365个人赞过
85%询问医生
60%继续阅读
90%预约挂号















